院長ブログ/ BLOG
2026年3月1日の心臓外科手術(僧帽弁形成術)の症例
いつもご訪問していただき、ありがとうございます。ブログの更新を怠っており、1年ぶりの更新です。
さて、2026年3月1日に、久々ですが、僧帽弁形成術(MVP)の手術を行いました。症例は粘液腫瘍性僧帽弁疾患により僧帽弁逆流を呈している雑種犬の症例。一度、肺水腫を起こし、かかりつけの病院で救命された稟告のある子でした。
開心術を行う際は、毎回、前日からこのように大がかりな準備が必要。今回もJACCTのご協力の下、当院で開心術を行いました。
手術の準備の様子↓
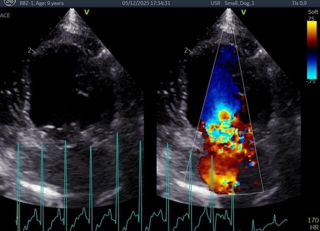
症例の術前所見は、僧帽弁の重度の逸脱があり、僧帽弁逆流量も多く、左心房の拡大および、左心室の拡大が酷かったのですが、
術前の所見↓


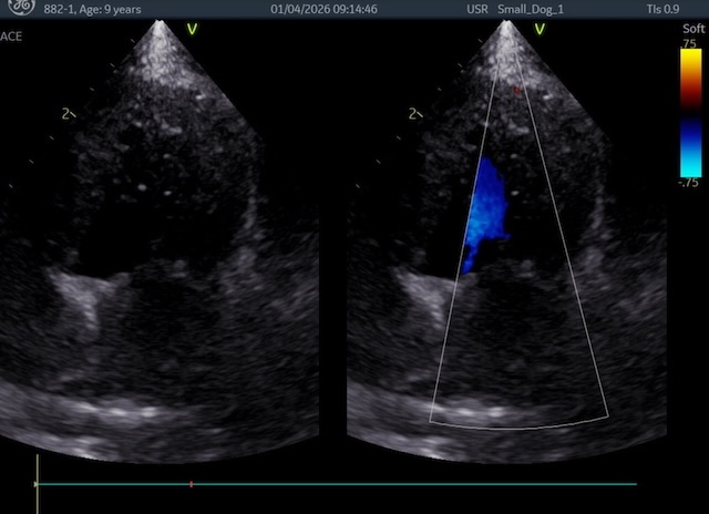
術後は、逆流も消失し、左心房、左心室がかなり小さくなってくれました。


2週間で無事退院。術後にちょっとした合併症もありましたが、無事乗り越え、元気に退院してくれました。僧帽弁の粘液腫瘍性変性が原因していますので、時間の経過と共に進行していく疾患でもあります。そういった疾患の性質上、内科治療を行って、症状などが軽減したとしても、壊れた弁は治ってはいません。内科治療を開始して、心負荷が軽減し、心拡大が一時的におさまる症例も偶にいますが、数ヶ月すると再度、心拡大し、状況悪化というような症例もいたりします。弁の壊れ方などが1例1例、様々であり、経過も様々なので、その子にあった手術の適応時期を考えるのは大変ですが、今後も適切なアドバイスが出来るように研鑽していきます。