/ BLOG


排尿に時間がかかる

こんにちは
排尿に時間がかかり、食欲も落ちてきているという雌のワンちゃんが来院されました。飼い主さんもかなり心配されてました。
各種検査を行うと膀胱内に結石が・・・
早速、手術にて結石を除去しました。



こういったのが膀胱内にあると痛いですよね~!!
結石除去後は元気さも出てき始めました。

結石は犬猫に多いストラバイトという結石でした。
この結石は膀胱炎に関わりが深い結石で、結石除去後も再発に注意する必要があります。

個人的な見解ですが、雄犬の場合は尿道が長く、巨大結石になるまでに尿道内に詰まってしまうことが多いのですが、雌犬の場合は尿道内に詰まる危険性は雄より少なく、巨大結石ができ発見されることの方が多いような気がします。
排尿異常は注意が必要です。

今後、このワンちゃんは処方食などを用いて再発の予防に取り組む予定です。


ワクチン時の身体検査にて

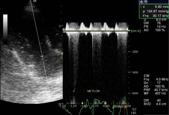
ワクチン時の身体検査にて心雑音が聴取されたワンちゃんの心臓検査を行いました。胸部のX-ray検査にて心拡大があり、心臓の超音波検査を行うと・・・





心臓が収縮しているときに左心房への血液の逆流があり、左心房も健康な個体と比べると大きく拡大しておりましたが、実はそれだけではなくて・・・



なんと、右心房と右心室の間の弁(3尖弁)にも血液の逆流が・・・
なので、この症例の診断名としては僧房弁閉鎖不全(MR)と三尖弁閉鎖不全(TR)ということになります。
幸いにして、今のところ発咳や運動不耐、腹水貯留などの症状は出てはいなかったため、いわゆる心不全という状況までは発展していませんでした。
飼い主さんはできるだけ悪化しないようにしてあげたいということで内科治療を選択していただきました。

これから、毎日の治療が始まりますが、飼い主さんもワンちゃんも頑張っていただきたいものです。


ご飯を食べない

こんにちは、今日2回目の投稿です。

今回の症例は3週間前からあまりご飯を食べなくなったことを主訴にこられた雌7歳令のわんちゃんです。
ご飯はあまり食べないけれどもお水はよく飲んでいるとのことでした。
身体検査より外陰部からの排膿があり
腹部超音波検査を行うと・・・



膀胱の頭側部分に異常を発見!!
血液検査にて炎症反応の数値も増加しておりました。

ちなみに↓はその炎症反応を数値化してみる検査機器です。


開腹を行うと子宮が異常なまでに大きくなっており、子宮の中には膿性のものがたっぷり・・・(写真は割愛します。)
なんと子宮蓄膿症を起こしておりました。

その膿を培養検査に出すと大腸菌が検出・・・

この子宮蓄膿症と言う病気は放置しておくと命に関わる病気です。
手術後も入院治療が必要で比較的長期の抗生剤投与も必要です。

高齢になり、卵巣の機能異常などが絡んで起こすことが多いようです。
避妊手術をしてない雌のワンちゃんでお水をたくさん飲んでご飯あまり食べない。という症状は注意が必要です!!


足のしこり

おひさしぶりです。なかなかブログの更新ができずじまいでしたが・・・(汗)

梅雨ということで最近天気の悪い日が続いてますね?
天気が悪いと外出するのがおっくうになってしまいがちですが・・・
さて、先日ちょっと気になる症例が来院されました。

主訴は内股の皮膚炎と1ヶ月程前から急速におおきくなってきたというしこりがきになるとのこと。

院内にて針で細胞を取って検査を行うと、顆粒を持った細胞の集塊がとれてきたので、手術にて切除し、病理検査に出すと肥満細胞腫という結果でした。

この肥満細胞腫は犬の皮膚の腫瘍では悪性の腫瘍に分類されやっかいな腫瘍です。
見た目最初は皮膚炎みたいなものがどんどん大きくなって行くケースが多いように見受けます。
幸いにこの症例の子はグレード1の肥満細胞腫でした。
なかなか治らない皮膚病や経過がはやく進行する病変には注意が必要です。


最近、暖かくなってきましたね?

皆様こんにちは、最近なかなかブログの更新が滞っておりましたスイマセン・・・
春になり、気温も日に日に暖かくなってきておりますが、皆様、如何お過ごしですか?
今日は、先日のブログにも書いていましたが、今の時期から犬、猫に必要な予防に関してお話したいと思っております。一気に色々書いてしまうと読むのも辛いと思いますので、今日はこれ↓

なんだか分かりますか?
そうです、フィラリアですね。犬にはとても有名な病気:フィラリア症の原因となる寄生虫です。最近の疫学調査では猫にも寄生することが知られています。今回は犬、猫のフィラリア症について病気と予防のお話をさせていただきます。
まず、フィラリアは犬猫ともに蚊より伝播されます。皮膚からフィラリアの幼虫が入り、成長を続けて半年以上をかけ、成虫になります。成虫のほとんどは肺動脈という血管の中に寄生し、そこでフィラリアの幼虫(ミクロフィラリア)を産みます。それがまた蚊に吸われ蚊の体内で成長し、他の犬猫に伝播するという病気です。
犬はもともと、フィラリアが生活をおくるには格好の生き物で予防を行わないとフィラリア症になる危険性はすごく高いです。
一方、猫ですが、疫学調査の結果からだと野外の猫の10頭中1頭はフィラリアの抗体を持っているとの結果が出ています。
[猫の場合、犬とは違いフィラリアが寄生しても検査で抗原(フィラリア自身)を測定することはできません。]
また、猫のフィラリア症は犬のフィラリア症より突然死のリスクが高いとも言われています。つまり、猫のフィラリア症は診断が犬とは違い難しく、且つ、フィラリア症になると突然死を起こす可能性のある怖い病気であることが言えます。

当院でも、以前から希望される飼い主様には猫のフィラリア予防を行っています。犬に関してはもう今更ながらの病気かもしれませんが、すごく重要な病気です。一度なってしまうと完治はできない病気なだけに予防が必須な病気でもあります。

しかし、なかなか書くというのは難しいですねぇ(汗)
だから、ブログ更新が滞ってるのかな~なんて(笑)


どっさり

こんにちは、院長の高尾です。
今日、以下のものがどっさり獣医師会より届きました。

これは何かというと狂犬病ワクチンです。
毎年、4月と5月に地域の公民館などで接種する400頭分が届けられました。
うきは市では4月25日~4月28日の4日間、各公民館などを周回して接種していきます。その間、当院では院長は不在にしていますが、もう一名の獣医師が診察を行っておりますので通常通りの診察時間での診察となります。

時期的にフィラリア予防やノミ・マダニの予防なども始めていただく季節になってきました。これらの予防はまた近いうちに取り上げようと思います。


[1]  前へ  56  57  次へ  [57]